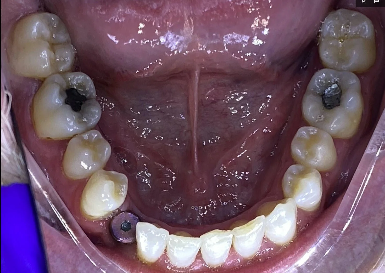
Implant

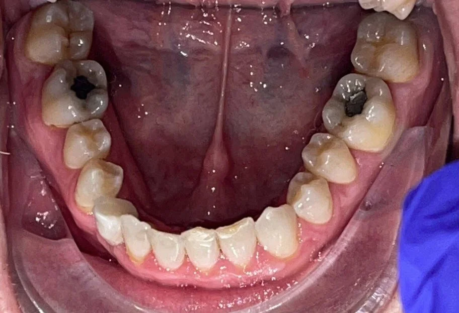
Before