Veneers
Whatever it is, the way you tell your story online can make all the difference.
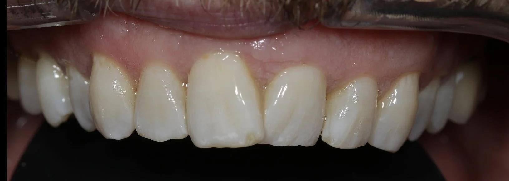
Before
Veneers
Whatever it is, the way you tell your story online can make all the difference.
Before