Smile Design

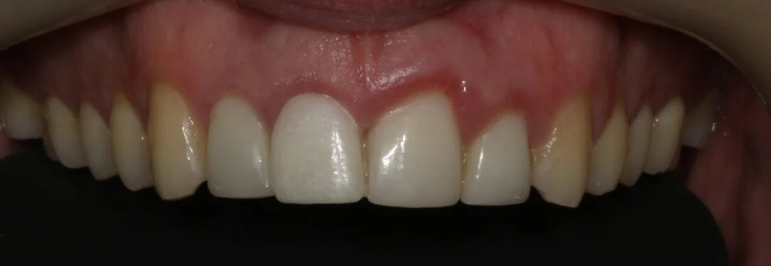
Before