Home
Results
Promotions
Solutions
Improving your smile
Straighten Your Smile
Missing Teeth
Crowns
What you need to know when you need a dental crown
Modern Materials
What Is The ABC Dental Difference? Dental Crowns
Services
Wisdom Teeth Removal
Dental Implants
Emergency
Check up and Clean
Metal Free Fillings
Cerec Crowns
Clear Aligners
Philips ZOOM! Whitening
Veneers and Lumineers
Root Canal
Dental Phobia
Child Friendly Dentistry
Our Technology
Payment
Payment Plans
Preferred Provider
Locations
Westfield Bondi Junction
Sydney CBD
Macquarie Centre
Contact
Contact Us
X-Ray Release Form
Opening Hours
Practice Accreditation
Work With Us
Blog
Webshop
BOOK NOW
Home
Results
Promotions
Solutions
Improving your smile
Straighten Your Smile
Missing Teeth
Crowns
What you need to know when you need a dental crown
Modern Materials
What Is The ABC Dental Difference? Dental Crowns
Services
Wisdom Teeth Removal
Dental Implants
Emergency
Check up and Clean
Metal Free Fillings
Cerec Crowns
Clear Aligners
Philips ZOOM! Whitening
Veneers and Lumineers
Root Canal
Dental Phobia
Child Friendly Dentistry
Our Technology
Payment
Payment Plans
Preferred Provider
Locations
Westfield Bondi Junction
Sydney CBD
Macquarie Centre
Contact
Contact Us
X-Ray Release Form
Opening Hours
Practice Accreditation
Work With Us
Blog
Webshop
BOOK NOW
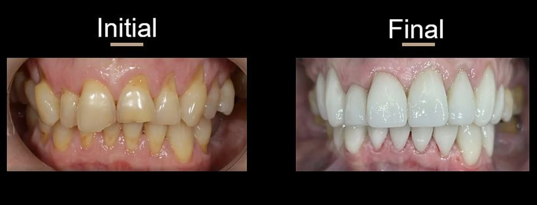
Smile Design
Upper and Lower
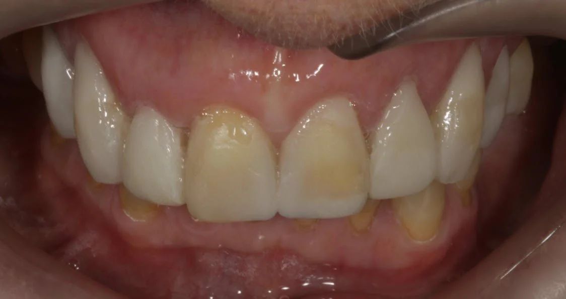
Motivational Mock Up